在备孕的路上,最怕的不是辛苦,而是“努力了却没结果”。随着医疗技术的进步,一种新型的检查技术——经阴道三维子宫输卵管超声造影,为辛苦备孕的女性带来了福音。
经阴道三维子宫
输卵管超声造影
简单来说,这是一项评估输卵管通畅性的医学影像检查技术。检查时,医生会在宫腔内放置一根双腔造影管,通过推注造影剂,动态观察造影剂在宫腔、输卵管和盆腔的流动、积聚和弥散情况,从而判断输卵管的通畅度、走形以及病灶部位。通过这个快速安全的检查,输卵管的许多问题便能一目了然。
正常清晰显示双侧宫颈及输卵管


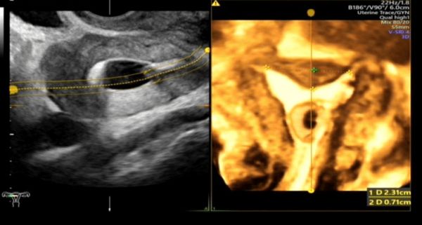
正常双侧卵巢周围造影剂呈环形包绕

正常宫腔
与传统检查相比,
有哪些突出优势?
1.安全无辐射,告别“备孕等待期”
与传统的X光输卵管造影不同,超声造影无任何电离辐射。所使用的微泡造影剂通过呼吸就能排出体外,在人体内的半衰期短,无生物毒性。检查后,通常来过一次月经,下个周期即可继续备孕,为渴望早日迎接宝宝的夫妻节省了宝贵的时间。
2.准确度高,检查、治疗可同步
超声造影能实时、动态、多角度、多方位观察输卵管走行形态,对输卵管通畅程度的判断较客观、准确。在推注造影剂的过程中,液体产生的压力对输卵管内部轻微的粘连或堵塞能起到一定的疏通作用。
3. 操作简单,不适感较轻
整个操作过程快捷,患者全程清醒,通常小腹会有憋胀感,疼痛度小,患者容易接受。

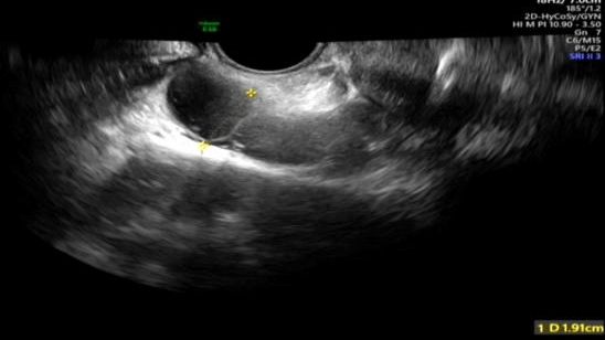
宫腔底部凹陷

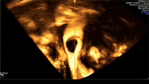
右侧输卵管积水

单角子宫合并右侧残角

子宫内膜息肉
哪些人需要考虑
做这项检查?
1.备孕一年以上未怀孕(35岁以下)或备孕6个月未怀孕(35-40岁);
2.曾有盆腔炎、子宫内膜异位症病史;
3.有过子宫、输卵管、卵巢等手术史;
4.准备进行人工授精等辅助生殖技术前评估。
检查前后需要
注意什么?
1.检查前准备:
• 检查时间应安排在月经干净后的3~7天内;
• 月经干净后不要有性生活;
• 检查前需排空膀胱。
2.检查后注意事项:
• 检查后需要留观30分钟;
• 造影结束后当月应采取避孕措施,禁盆浴、游泳、泡温泉;
• 若出现发热、腹痛、阴道流血过多等不适,应及时就医。

经阴道三维子宫输卵管超声造影,就像是备孕路上的一个“小帮手”,能帮您更清晰地了解身体情况。祝愿每位期盼成为妈妈的您,都能轻松前行,早日迎来属于自己的那份喜悦!
来源 | 白瑶瑶 吕超
编辑 | 如意
审核 | 甘桦 林立 周晨
本文仅为健康科普,旨在传播医学知识,不作为诊疗依据。具体治疗方案请咨询专业医生。



还没有内容